哪些牙齿必须拔除?
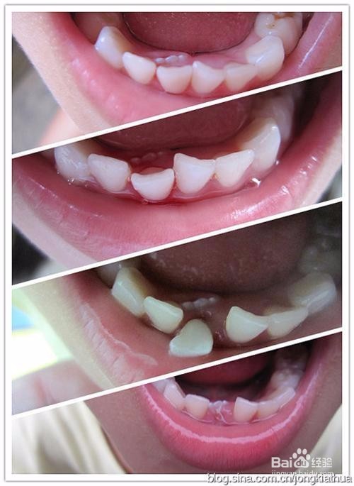
1、乳牙滞留。随着生活水平的提高,食物的日益精细化,孩子对乳牙的磨耗降低,很容易导致乳牙滞留,这些滞留的乳牙必须要拔除,否则可能会给恒牙的萌出造成影响,比如会导致萌出的恒牙出现歪斜,造成牙齿畸形。



2、矫正拔牙。牙齿矫正时有些方案需要拔牙矫正,这时候拔牙是为了为即将矫正的牙齿预留出足够的空间用来排齐牙齿,如果拒绝拔牙可能会影响矫正效果,比如矫正后会面临嘴凸的现象。



3、残根、残冠需要拔除。残根、残冠看似影响不大,既不疼也没有其他的影响,很多人都会忽视,然而残根残冠带来的影响可能会更大,比如会造成口腔异味,给口腔环境健康带来危险,甚至会影响心脏、肠胃等其他身体机能的健康。


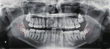
4、阻生智齿必须拔除。智齿是人类进化中逐渐退化的牙齿,临床建议智齿可以拔除,当然如果智齿位置合适有对颌牙,可以选择拔除。但是想阻生智齿必须拔除,一来阻生智齿容易引起牙齿炎症给自己带来疼痛感,二阻生智齿在生长的过程中可能会严重影响邻牙的健康,三阻生智齿如果迫近血管,在生长过程可能会出现危险。


5、多生牙必须拔除。多生牙并不参与咀嚼功能,反而会造成牙齿畸形,因嵌塞食物带来牙齿龋坏等不良影响。


6、埋伏牙必须拔除。埋伏牙多是在口腔健康中才会发现,大多数埋伏牙生长不会被看到或者感知到,一旦发现尽快拔除,以免造成不必要的危险。


阅读量:182
阅读量:194
阅读量:169
阅读量:120
阅读量:27