全身关节痛体检有哪些
1、血液检查。主要检查项目包括血常规、类风湿因子筛查、红斑狼疮细胞试验、红细胞沉降率、抗链球菌溶血素0试验、C反应蛋白、抗核抗体、免疫球蛋白和补体血液分析项目。

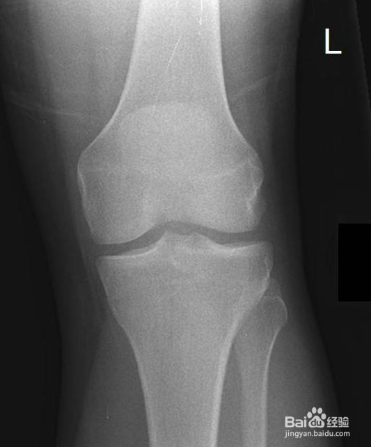
2、X光透视检查。通过X光拍摄关节部位的透视图片,可以直观的看出关节是否存在结构上的病变,从而判断是否有骨折的现象。

3、全身热断层检查。如果是痛风或者其他疾病,关节疼痛也会伴随着关节发热的现象。全身扫描以检测到关节处的微小的体温变化,与其他部位对比,可以观察关节疾病的情况。在治疗的过程中还可以对疗效进行跟踪,为医生下一步治疗提供依据。
